Braces Magic
FAQs
| Your First Visit
| Office Tour
Treatment Options
| Patient Forms
| Braces Magic
Smile Gallery
| Special Events
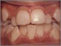
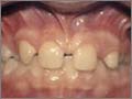
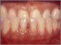
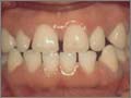
Here are some examples of problems that braces and orthodontics can correct.
Click on any of the examples to see the finished result.









